전악수복
교합·저작·심미를 종합적으로 재구성해
무너진 구강 기능을 다시 세웁니다.
보철이란 상실된 신체의 일부를
인공물로 대체한다는 뜻입니다.
치과 보철치료란 충치, 잇몸병, 외상 등으로
치아에 결손 부위가 생긴 경우,
약해진 치아를 보호하고 기능과 심미성을 회복하기 위해
인공물(인레이, 크라운, 브릿지, 임플란트, 틀니 등)로
결손된 치아를 수복해주는 치료를 말합니다.
보철 치료는 치과 치료의 마지막 단계로, 섬세한 작업이 필요하며,
경험과 노하우가 풍부한 보철과 전문의에게 받는 것이 좋습니다.
음식을 씹는 데 직접적인 영향을 미치는 만큼 환자의 상태와
요구에 따라 적절한 재료와 방법을 선택하여 치료를 진행해야 하며,
꼼꼼한 마무리와 지속적인 관리가 중요합니다.
내 치아처럼 편안한 보철치료가 이루어지도록,
서울바른경치과가 끝까지 책임지겠습니다.
디지털 진단과 정밀 보철 설계를 기반으로,
기능 회복과 심미 균형을 함께 완성합니다.
교합·저작·심미를 종합적으로 재구성해
무너진 구강 기능을 다시 세웁니다.
파절·2차 충치·적합도 저하 등
문제 원인을 정밀 진단해 재수복합니다.
잇몸 상태와 교합을 고려해
편안한 착용감과 안정적인 유지력을 설계합니다.
복잡한 증례도 디지털 플래닝과 맞춤 보철로
기능과 심미를 정교하게 완성합니다.
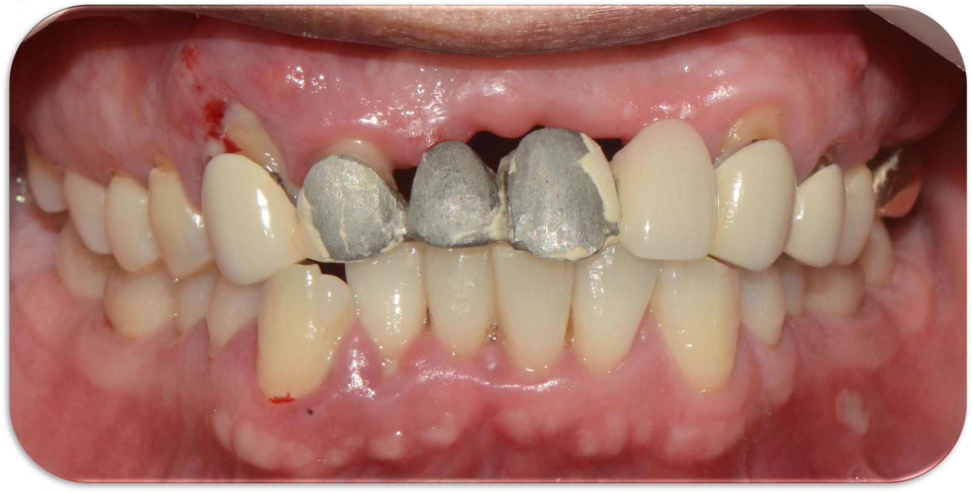
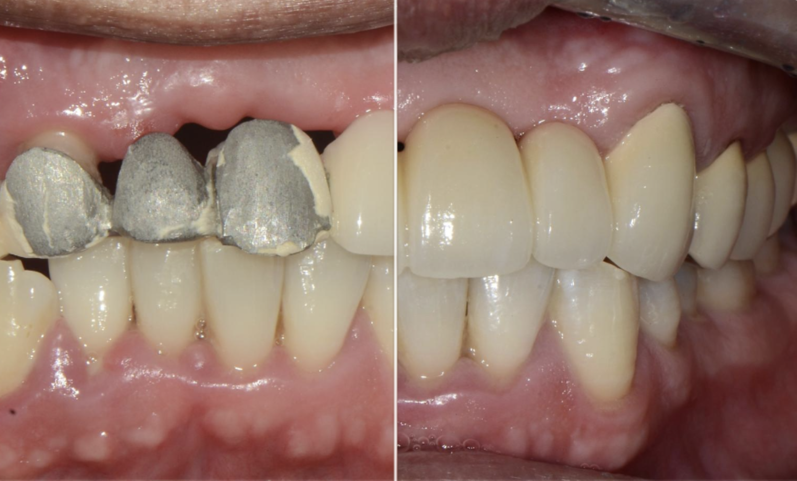
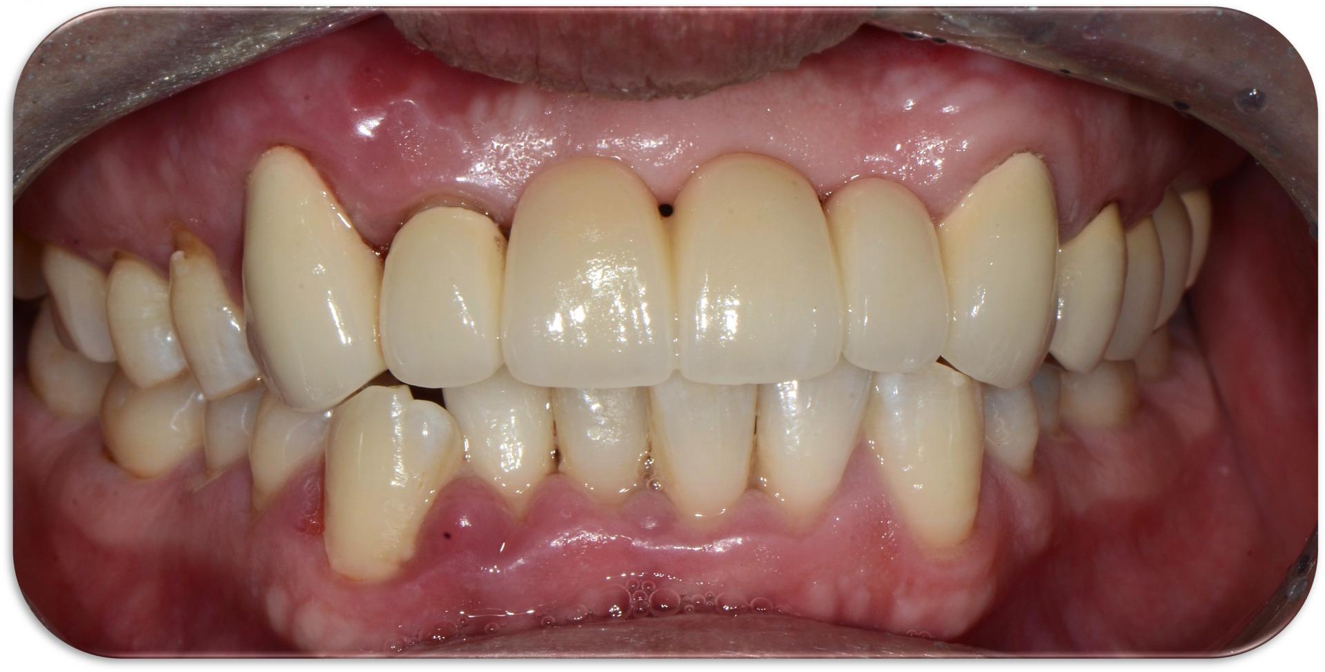
전체 치아를 수복하여 무너진 구강 기능과 균형을 다시 세우는 치료입니다.
STEPS OF FULL-MOUTH REHABILITATION
진단부터 유지관리까지, 단계별로 계획적으로 진행합니다.
치아·잇몸·턱관절·교합·안모를 종합 평가하고 치료계획을 수립합니다.
발치·잇몸치료·충치치료·임플란트 수술 등 사전 치료로 기반을 안정화합니다.
크라운·브릿지·임플란트 보철·의치 등을 통해 기능과 심미를 함께 회복합니다.
정기 검진·교합 점검·관리 프로그램으로 치료 결과를 오래 유지합니다.
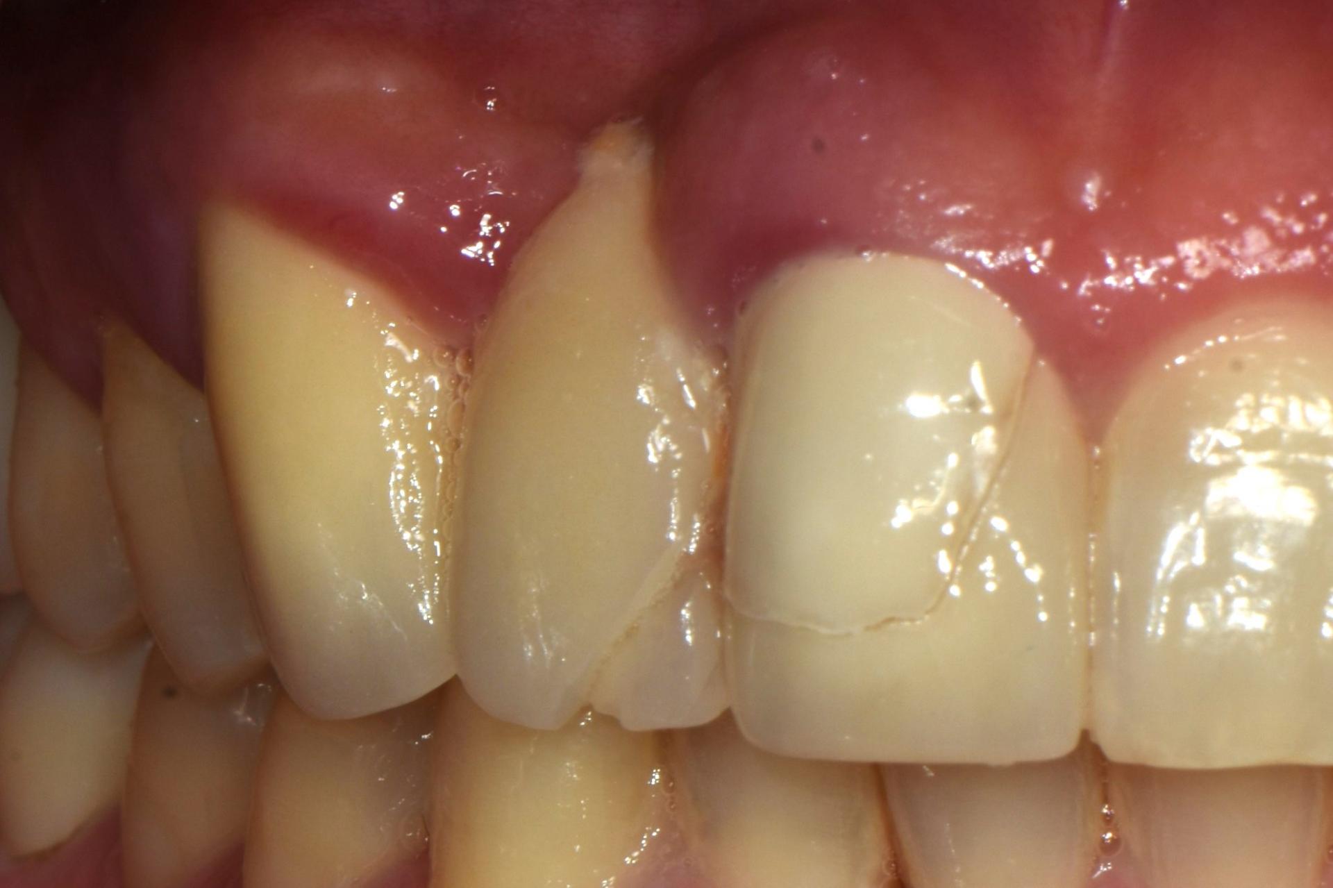
재보철치료는 기존의 보철물이 손상되거나 기능을 상실한 경우, 이를 교체하는 치료입니다.
틈이 있는 등 보철물의 적합도가 떨어져 안쪽 자연치아의 손상이 우려될 경우
마모 및 파절 등으로 보철물의 기능 저하가 관찰될 경우
손상 및 파손으로 인해 비심미적인 보철물 상태인 경우
부적절한 보철물 형태로 인해 주변 잇몸조직 및 인접치아에 손상을 유발하기 쉬운 경우
부분 틀니는 일부 치아가 상실되었을 때 사용하는 틀니로 남아있는 치아에 고리를 걸어 고정합니다.
임플란트 수복과 비교해 수술을 피할 수 있는 장점이 있으며, 적절한 유지력과 저작력이 기대되지만 남아 있는 치아에 부담이 될 수 있습니다.
전체 틀니는 모든 치아가 상실되었을 때 사용하는 틀니로 잇몸에 얹어 사용합니다.
착용이 간편하고 비용 부담이 비교적 낮지만, 저작력과 유지력이 떨어질 수 있어 정밀한 제작과 정기적인 조정이 중요합니다.
2~4개의 임플란트를 식립한 뒤 특수 연결장치로 틀니를 고정하는 방식입니다.
일반 틀니보다 유지력과 저작력이 향상되어, 일상 식사와 발음에서 보다 안정적인 만족도를 기대할 수 있습니다.
서울바른경치과의원 | 사업자등록번호 : 138-65-00681
대표자 : 경규영
Tel : 02-418-2879
Fax : 02-418-2871
Email : dentikyung@naver.com
서울시 송파구 송파대로 373, K타워 2층
© 2025 SEOULBAREUNKYUNG. ALL RIGHTS RESERVED.
| 분류 | 항목 | 비용(KRW) |
|---|---|---|
| 임플란트 | 오스템 SOI | 1,100,000 |
| 오스템 BA | 1,000,000 | |
| 덴티움 | 1,000,000 | |
| 덴티스 | 900,000 | |
| 수술용 가이드 제작 | 100,000~ 200,000 |
|
| 뼈이식 | 골이식재 적용 | 300,000~ 500,000 |
| 차폐막 적용 | 150,000~ 300,000 |
|
| 상악동거상술 (치조정접근) |
500,000~ 700,000 |
|
| 상악동거상술 (측방창접근) |
700,000~ 1,000,000 |
|
| 보철치료 | 골드 크라운 (구치부) | 750,000~ 950,000 |
| 지르코니아 (구치부) | 480,000 | |
| PFM 크라운 (구치부) | 450,000 | |
| Metal 크라운 (구치부) | 380,000 | |
| 올세라믹 (전치부) | 550,000 | |
| 지르코니아 (전치부) | 550,000 | |
| 인공치 | 크라운수가 | |
| 타원임플란트 재보철 (크라운만) |
500,000 | |
| 타원임플란트 재보철 (지대주+크라운) |
600,000 | |
| 타원임플란트 재보철치료(특수) |
800,000 | |
| 장치치료 | 전체틀니 | 2,000,000 |
| 부분틀니 | 1,500,000~ 1,800,000 |
|
| 심미틀니 | 500,000 추가 | |
| 임플란트 틀니 | 4,000,000 | |
| 교합안정장치/ 이갈이장치 |
600,000 | |
| 수복치료 | 레진 (전치부 1개) | 200,000 | 레진 (전치부 소와동) | 100,000 |
| 레진 (전치부 인접면) | 150,000 | |
| 레진 (전치부 절단연) | 150,000 | |
| 레진 (전치부 비니어) | 400,000 | |
| 레진 (구치부 소와동) | 100,000 | |
| 레진 (구치부 교합면) | 150,000 | |
| 레진 (구치부 빌드업) | 300,000 | |
| 레진 (pit) | 70,000 | |
| 레진 (치경부 마모증) | 70,000 | |
| 인레이 (이맥스) | 290,000 | |
| 인레이 (골드) | 450,000 | |
| 기타수복 | 온레이 (이맥스) | 340,000 |
| 온레이 (골드) | 550,000 | |
| 오버레이 (이맥스) | 400,000 | |
| 레진코어 | 70,000 | |
| 포스트 (fiber) | 150,000 | |
| 심미치료 | 미백 (전문가 1회) | 90,000 |
| 미백 (전문가 3회) | 250,000 | |
| 실활치미백 | 150,000 | |
| 라미네이트 | 600,000 | |
| 스케일링 | 비보험 스케일링 | 50,000 |
| 구강내과 | 보톡스 | 100,000 |
* 위 비용은 부가세 10% 별도 금액입니다. (일부 항목 제외)
* 환자분의 상태에 따라 비용이 변동될 수 있습니다.
| 구분 | 항목 | 가격 (KRW) |
|---|---|---|
| 임플란트 | 오스템 SOI | 1,100,000 |
| 오스템 BA | 1,000,000 | |
| 덴티움 | 1,000,000 | |
| 덴티스 | 900,000 | |
| 수술용 가이드 제작 | 100,000 ~ 200,000 | |
| 뼈이식 | 골이식재 적용 | 300,000 ~ 500,000 |
| 차폐막 적용 | 150,000 ~ 300,000 | |
| 상악동거상술 (치조정접근) | 500,000 ~ 700,000 | |
| 상악동거상술 (측방창접근) | 700,000 ~ 1,000,000 | |
| 보철치료 | 골드 크라운 (구치부) | 750,000 ~ 950,000 |
| 지르코니아 크라운 (구치부) | 480,000 | |
| PFM 크라운 (구치부) | 450,000 | |
| Metal 크라운 (구치부) | 380,000 | |
| 올세라믹 크라운 (전치부) | 550,000 | |
| 지르코니아 크라운 (전치부) | 550,000 | |
| 인공치 | 크라운수가 | |
| 타원임플란트 재보철(크라운만) | 500,000 | |
| 타원임플란트 재보철(지대주+크라운) | 600,000 | |
| 보철(특수) | 타원임플란트 재보철치료(특수) | 800,000 |
| 장치치료 | 전체틀니 | 2,000,000 |
| 부분틀니 | 1,500,000 ~ 1,800,000 | |
| 심미틀니 | 500,000 추가 | |
| 교합안정장치 / 이갈이장치 | 600,000 | |
| 수복치료 | 레진 (전치부 1개) | 200,000 |
| 레진 (전치부 소와동) | 100,000 | |
| 레진 (전치부 인접면) | 150,000 | |
| 레진 (전치부 절단연) | 150,000 | |
| 레진 (전치부 비니어) | 400,000 | |
| 레진 (구치부 소와동) | 100,000 | |
| 레진 (구치부 교합면) | 150,000 | |
| 레진 (구치부 빌드업) | 300,000 | |
| 레진 (pit) / (치경부 마모증) | 70,000 | |
| 인레이 (이맥스) | 290,000 | |
| 인레이 (골드) | 450,000 | |
| 온레이 (이맥스) | 340,000 | |
| 기타수복 | 온레이 (골드) | 550,000 |
| 오버레이 (이맥스) | 400,000 | |
| 레진코어 | 70,000 | |
| 심미치료 | 미백 (전문가 1회) | 90,000 |
| 미백 (전문가 3회) | 250,000 | |
| 실활치미백 | 150,000 | |
| 라미네이트 | 600,000 | |
| 스케일링 | 비보험 스케일링 | 50,000 |
| 구강내과 | 보톡스 | 100,000 |
* 위 비용은 부가세 10% 별도 금액입니다. (일부 항목 제외)
* 환자분의 구강 상태에 따라 비용이 변동될 수 있습니다.