안전하고 섬세한 사랑니 발치

   사랑니 발치 전문치과에서 다년 간의 임상경험을 보유한 전문의가 

   풍부한 시술 경험과 축적된 노하우로 환자분의 상태를 정확하게 파악하고,

   최적의 방법으로 안전하게 발치합니다.






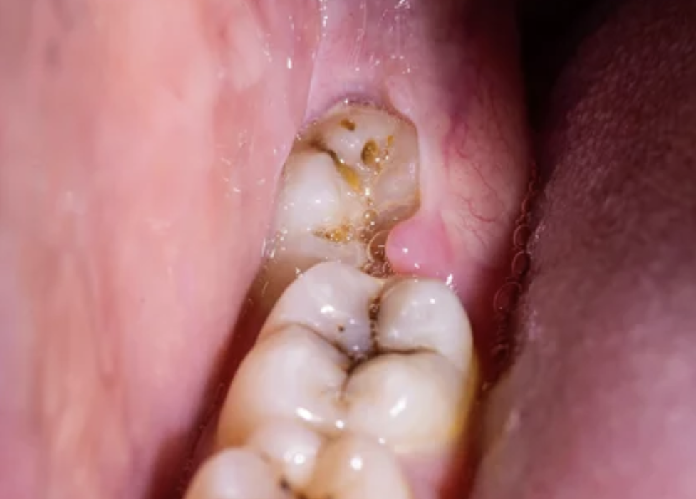
사랑니란 무엇인가요?


   사랑니는 구강 내에 가장 안쪽에서 맹출하는 세번째 큰 어금니(제3대구치) 입니다. 

   영구치 중에서 가장 늦게 맹출하는 치아로, 보통 10대 후반에서 20대 초반에 나타

   납니다. 구강 내 공간이 부족한 경우 사랑니는 제대로 위치하지 못하거나 매복되

   는 경우가 있습니다. 이런 사랑니의 경우 주변 치아의 손상을 일으키거나 주변 잇   

   몸의  통증, 염증의 원인이 될 수 있는데, 이런 경우 사랑니 발치가 필요할 수 있습

   니다.  

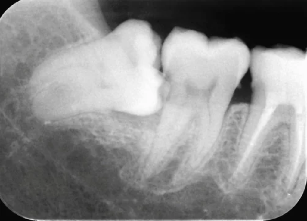
사랑니 발치 과정은 어떻게 되나요?




진단 및 검사


사랑니의 위치와 상태를 평가하기 위해 X-레이 촬영과 구강내 검진을 진행합니다.

환자에게 사랑니의 상태와 발치 필요성에 대해 설명하고, 발치 계획을 수립합니다.








사랑니 발치


국소 마취 후 사랑니를 발치합니다.  

매복 사랑니의 경우 잇몸 절개 후 사랑니 발치를 시행하며, 봉합하여 마무리 합니다.








매복 사랑니 발치 시 과정 


1) 잇몸 절개 : 사랑니를 노출시키기 위해 잇몸을 절개하여 공간을 확보합니다.

2) 치조골 삭제 : 필요한 경우 치아가 잘 나올 수 있도록 주변의 잇몸뼈 일부를 제거합니다.

3) 치아 분할 : 경우에 따라 치아를 분할하여 발치합니다.

4) 발치 : 치아를 조심스럽게 제거합니다.

5) 봉합 : 절개된 부위를 봉합합니다.







발치 후 관리


발치 후 출혈이나 통증, 감염방지를 막기위해 항생제를 처방하고 관리 방법을 안내합니다. 

1주 동안 회복 상태를 체크하고 소독과 봉합사(실밥) 제거를 합니다. 






안전하고 섬세한 

사랑니 발치

사랑니 발치 전문치과에서 다년 간의 임상경험을 보유한 전문의가 풍부한 시술 경험과 축적된 노하우로 환자분의 상태를 정확하게 파악하고, 최적의 방법으로 안전하게 발치합니다.

사랑니란 무엇인가요?

사랑니는 구강 내에 가장 안쪽에서 맹출하는 세번째 큰 어금니(제3대구치) 입니다. 

영구치 중에서 가장 늦게 맹출하는 치아로, 보통 10대 후반에서 20대 초반에 나타납니다. 구강 내 공간이 부족한 경우 사랑니는 제대로 위치하지 못하거나 매복되는 경우가 있습니다. 이런 사랑니의 경우 주변 치아의 손상을 일으키거나 주변 잇몸의 통증, 염증의 원인이 될 수 있는데, 이런 경우 사랑니 발치가 필요할 수 있습니다.  

사랑니발치 과정은 어떻게 되나요?


진단 및 검사


사랑니 발치


매복사랑니 발치시 과정


발치 후 관리


병원명  서울바른경치과의원   대표자 경규영 

사업자등록번호 138-65-00681  

전화 / 팩스 02-418-2879 / 2871  

주소 서울시 송파구 송파대로 373 K타워 2층

메일 dentikyung@naver.com


이용약관보러가기   개인정보처리방침

2024 (c) All rights reserved 서울바른경치과의원.

병원명   서울바른경치과의원          ㅣ  대표자 경규영         ㅣ  사업자등록번호 138-65-00681

전화/팩스 02-418-2879 / 2871  ㅣ  메일  dentikyung@naver.com

주소 서울시 송파구 송파대로 373, 2층 (석촌동, 케이타워)

2024 (c) All rights reserved 서울바른경치과.


      이용약관보러가기        개인정보처리방침