전문가 미백
치과에서 고농도 미백제를 사용해 단기간에 밝기를 개선합니다.
시림·잇몸 보호를 고려해 상태에 맞게 농도와 시간을 조절합니다.
누렇게 변색된 치아로 감추기만 했던 미소,
이제 서울바른경치과에서 자신감을 되찾아 드립니다.
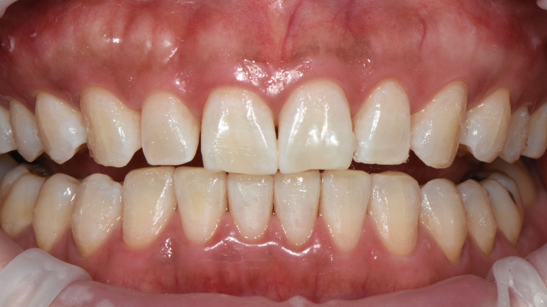
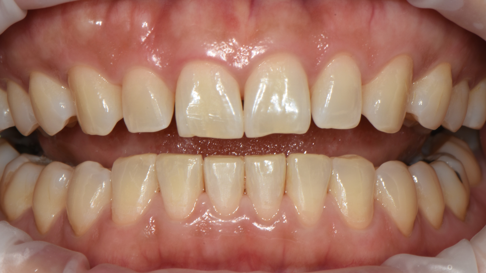
After
Before
* 핸들을 좌우로 움직여 변화를 확인해보세요.
변색의 원인을 정확히 파악해야
가장 효과적인 미백 치료 계획을 세울 수 있습니다.
커피, 카레, 와인, 초콜릿 등 색소가 강한 음식물을 자주 섭취할 경우 치아 표면에 색소가 스며듭니다.
담배의 니코틴과 타르 성분은 치아 표면에 갈색이나 검은색의 단단한 착색을 유발합니다.
양치질이 소홀하여 치태와 치석이 쌓이면, 그 위로 음식물 색소가 더 쉽게 침착되어 변색됩니다.
넘어지거나 부딪혀 치아 내부 신경(치수)이 괴사되면, 치아 색이 검거나 푸르게 변할 수 있습니다.
나이가 들수록 치아 겉면(법랑질)은 얇아지고 안쪽(상아질)은 짙어져 치아가 누렇게 보일 수 있습니다.
치아 상태와 변색 원인에 따라 미백 방법이 달라집니다.
정확한 진단 후 가장 안전하고 예측 가능한 방식으로 진행합니다.
치과에서 고농도 미백제를 사용해 단기간에 밝기를 개선합니다.
시림·잇몸 보호를 고려해 상태에 맞게 농도와 시간을 조절합니다.
신경치료를 받은 치아의 내부 변색에 적용합니다.
치아 안쪽에 미백제를 적용해 색을 서서히 회복시키는 방식입니다.
개인 맞춤 트레이로 집에서 단계적으로 밝히는 방법입니다.
자연스러운 톤 개선과 유지에 유리하며, 치아 상태에 맞춰 계획합니다.
밝아진 미소를 오랫동안 유지하기 위해
아래 사항들을 꼭 지켜주세요.
음식물 섭취는 치료 1시간 후부터 가능합니다.
색소가 진한 음식(카레, 와인 등)은 당분간 피해주세요.
커피나 콜라 등 착색 위험이 있는 음료를 드실 때는
치아에 닿지 않도록 빨대를 사용하는 것이 좋습니다.
음식물 잔사에는 색소가 포함된 경우가 많으므로,
식사 후에는 즉시 양치하여 표면을 깨끗이 유지해주세요.
미백 직후 일시적으로 시린 증상이 나타날 수 있습니다.
증상이 지속되거나 심해질 경우 치과에 내원해 체크받으세요.
흡연은 치아 변색의 가장 큰 원인 중 하나입니다.
미백 효과 유지를 위해 직후에는 흡연을 최대한 삼가주세요.
서울바른경치과의원 | 사업자등록번호 : 138-65-00681
대표자 : 경규영
Tel : 02-418-2879
Fax : 02-418-2871
Email : dentikyung@naver.com
서울시 송파구 송파대로 373, K타워 2층
© 2025 SEOULBAREUNKYUNG. ALL RIGHTS RESERVED.
| 분류 | 항목 | 비용(KRW) |
|---|---|---|
| 임플란트 | 오스템 SOI | 1,100,000 |
| 오스템 BA | 1,000,000 | |
| 덴티움 | 1,000,000 | |
| 덴티스 | 900,000 | |
| 수술용 가이드 제작 | 100,000~ 200,000 |
|
| 뼈이식 | 골이식재 적용 | 300,000~ 500,000 |
| 차폐막 적용 | 150,000~ 300,000 |
|
| 상악동거상술 (치조정접근) |
500,000~ 700,000 |
|
| 상악동거상술 (측방창접근) |
700,000~ 1,000,000 |
|
| 보철치료 | 골드 크라운 (구치부) | 750,000~ 950,000 |
| 지르코니아 (구치부) | 480,000 | |
| PFM 크라운 (구치부) | 450,000 | |
| Metal 크라운 (구치부) | 380,000 | |
| 올세라믹 (전치부) | 550,000 | |
| 지르코니아 (전치부) | 550,000 | |
| 인공치 | 크라운수가 | |
| 타원임플란트 재보철 (크라운만) |
500,000 | |
| 타원임플란트 재보철 (지대주+크라운) |
600,000 | |
| 타원임플란트 재보철치료(특수) |
800,000 | |
| 장치치료 | 전체틀니 | 2,000,000 |
| 부분틀니 | 1,500,000~ 1,800,000 |
|
| 심미틀니 | 500,000 추가 | |
| 임플란트 틀니 | 4,000,000 | |
| 교합안정장치/ 이갈이장치 |
600,000 | |
| 수복치료 | 레진 (전치부 1개) | 200,000 | 레진 (전치부 소와동) | 100,000 |
| 레진 (전치부 인접면) | 150,000 | |
| 레진 (전치부 절단연) | 150,000 | |
| 레진 (전치부 비니어) | 400,000 | |
| 레진 (구치부 소와동) | 100,000 | |
| 레진 (구치부 교합면) | 150,000 | |
| 레진 (구치부 빌드업) | 300,000 | |
| 레진 (pit) | 70,000 | |
| 레진 (치경부 마모증) | 70,000 | |
| 인레이 (이맥스) | 290,000 | |
| 인레이 (골드) | 450,000 | |
| 기타수복 | 온레이 (이맥스) | 340,000 |
| 온레이 (골드) | 550,000 | |
| 오버레이 (이맥스) | 400,000 | |
| 레진코어 | 70,000 | |
| 포스트 (fiber) | 150,000 | |
| 심미치료 | 미백 (전문가 1회) | 90,000 |
| 미백 (전문가 3회) | 250,000 | |
| 실활치미백 | 150,000 | |
| 라미네이트 | 600,000 | |
| 스케일링 | 비보험 스케일링 | 50,000 |
| 구강내과 | 보톡스 | 100,000 |
* 위 비용은 부가세 10% 별도 금액입니다. (일부 항목 제외)
* 환자분의 상태에 따라 비용이 변동될 수 있습니다.
| 구분 | 항목 | 가격 (KRW) |
|---|---|---|
| 임플란트 | 오스템 SOI | 1,100,000 |
| 오스템 BA | 1,000,000 | |
| 덴티움 | 1,000,000 | |
| 덴티스 | 900,000 | |
| 수술용 가이드 제작 | 100,000 ~ 200,000 | |
| 뼈이식 | 골이식재 적용 | 300,000 ~ 500,000 |
| 차폐막 적용 | 150,000 ~ 300,000 | |
| 상악동거상술 (치조정접근) | 500,000 ~ 700,000 | |
| 상악동거상술 (측방창접근) | 700,000 ~ 1,000,000 | |
| 보철치료 | 골드 크라운 (구치부) | 750,000 ~ 950,000 |
| 지르코니아 크라운 (구치부) | 480,000 | |
| PFM 크라운 (구치부) | 450,000 | |
| Metal 크라운 (구치부) | 380,000 | |
| 올세라믹 크라운 (전치부) | 550,000 | |
| 지르코니아 크라운 (전치부) | 550,000 | |
| 인공치 | 크라운수가 | |
| 타원임플란트 재보철(크라운만) | 500,000 | |
| 타원임플란트 재보철(지대주+크라운) | 600,000 | |
| 보철(특수) | 타원임플란트 재보철치료(특수) | 800,000 |
| 장치치료 | 전체틀니 | 2,000,000 |
| 부분틀니 | 1,500,000 ~ 1,800,000 | |
| 심미틀니 | 500,000 추가 | |
| 교합안정장치 / 이갈이장치 | 600,000 | |
| 수복치료 | 레진 (전치부 1개) | 200,000 |
| 레진 (전치부 소와동) | 100,000 | |
| 레진 (전치부 인접면) | 150,000 | |
| 레진 (전치부 절단연) | 150,000 | |
| 레진 (전치부 비니어) | 400,000 | |
| 레진 (구치부 소와동) | 100,000 | |
| 레진 (구치부 교합면) | 150,000 | |
| 레진 (구치부 빌드업) | 300,000 | |
| 레진 (pit) / (치경부 마모증) | 70,000 | |
| 인레이 (이맥스) | 290,000 | |
| 인레이 (골드) | 450,000 | |
| 온레이 (이맥스) | 340,000 | |
| 기타수복 | 온레이 (골드) | 550,000 |
| 오버레이 (이맥스) | 400,000 | |
| 레진코어 | 70,000 | |
| 심미치료 | 미백 (전문가 1회) | 90,000 |
| 미백 (전문가 3회) | 250,000 | |
| 실활치미백 | 150,000 | |
| 라미네이트 | 600,000 | |
| 스케일링 | 비보험 스케일링 | 50,000 |
| 구강내과 | 보톡스 | 100,000 |
* 위 비용은 부가세 10% 별도 금액입니다. (일부 항목 제외)
* 환자분의 구강 상태에 따라 비용이 변동될 수 있습니다.